Labial

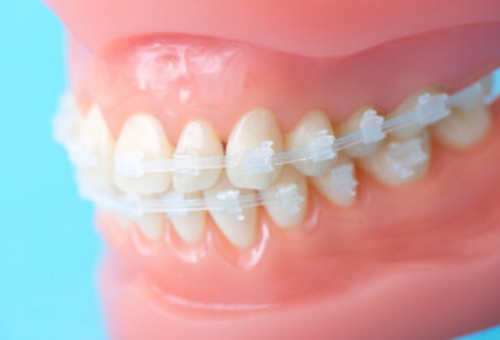
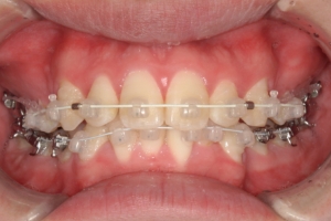
矯正装置の中でもっとも実績のある治療法です。歯列の表側にブラケットという装置を接着し、ブラケットに矯正用ワイヤーを通すことでワイヤーの力を歯に加えて、少しづつ歯を動かしていきます。
すでに治療技術が確立されており、ほぼすべての症例で安定した治療結果を得ることができます。歯が欠損しているなどの複雑な症例にも対応できるため、難易度が高い治療にはワイヤー矯正が選択されるケースが多いです。
できる限り目立ちにくい装置をご希望の方には、審美性の高いホワイトワイヤーやセラミックブラケットをご用意しております。
表側矯正(ワイヤー矯正)の種類

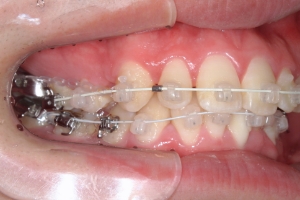
審美ブラケット・ワイヤー
審美ブラケットには白いセラミックや透明のプラスチックのものがあり、目立ちにくい矯正治療ができるのが一番の特徴です。特にセラミックは歯の質に近い見た目なので、非常に審美性に優れています。素材が違うというだけで、金属製のブラケットと同じように複雑な歯並びにも対応できるため、歯並びが極度に悪い人でも不安に思うことはありません。

メタルブラケット・ワイヤー
メタルブラケットはステンレススチールやチタンなどの金属で作られます。金属製のため見た目が気になる方が多くいますが、強度と耐久性に優れており、長期間の矯正治療にも安心して使用できます。ワイヤー矯正の中でも最も安価なため、装置の見た目はそれほど気にならず費用を抑えたいという方におすすめです。
当院の表側ワイヤー矯正治療の特徴

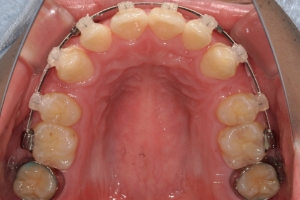
セルフライゲーション型マルチブラケット装置を使用
(デーモンブラケット)
従来の矯正装置では、ブラケットにワイヤーを強く縛り付けるため、装置とワイヤー間に大きな摩擦が生じて歯のスムーズな動きが妨げられていました。
しかし、セルフライゲーション型マルチブラケット装置では、開閉式のふたを組み込むことで強く縛り付ける必要がなくなり、摩擦力は約1/600まで軽減されました。これにより、弱い力で速く歯を動かすことが可能となりました。また、弱い力で歯を動かせるので、従来の装置に比べて治療初期の痛みが軽減されやすい傾向があります。
当院では、すべての大人の矯正治療でデーモンブラケットを使用しております。

カスタムメイド矯正装置(インシグニア)を使用
インシグニアとは、一人ひとりの口腔内にあわせた効率的なワイヤー矯正治療をコンピュータ上で設計する、オーダーメイドの歯科矯正治療システムです。
インシグニアの導入により、従来の矯正治療と比べて以下のようなメリットを実現しています。
・治療後の歯並びの変化予測を確認できる
・効率的な治療の進行が期待できる
・来院頻度が少なくなる傾向がある
当院では、一部の患者様に、新たなテクノロジーを採用したより正確で負担の少ない治療を提供しております。
表側矯正(ワイヤー矯正)がおすすめな方
当院では、表側矯正でも目立ちにくい装置を選択することができます

目立ちにくいブラケット
ブラケットとは、歯の表面に接着する四角い装置のことです。標準的な表側矯正では金属製のブラケットが用いられますが、装置の見た目が気になる方は、審美性の高いセラミック製やプラスチック製のブラケットを選択することもできます。 歯の色調に近いので、歯の表面につけても比較的目立たずに治療を行えます。

目立ちにくいワイヤー
ブラケットに通す矯正用ワイヤーも、審美性の高い白いものを選択することができます。 いわゆる “ホワイトワイヤー” は、金属製ワイヤーの表面を白くコーティングしたものです。ホワイトワイヤーとセラミックブラケットを併用することで、矯正中であることに気付かれにくくなります。
表側矯正(ワイヤー矯正)のメリット
01
ほとんどの歯並びに適応できる
表側矯正は、出っ歯や受け口、乱ぐい歯など、さまざまな歯並びに対応することができます。こんな歯並びでも矯正できるの?と治療を諦めている人でもぜひ、当院の相談にお越しください。
02
装置が表側にあるので舌の動きを邪魔しない
私たちの舌はしゃべる、食べる、飲み込む際、複雑に運動します。装置が表側にあると、そうした舌の動きを邪魔することがありません。
03
費用がリーズナブル
基本的に矯正治療に使用する装置は、目立ちにくいほど費用が高くなる傾向にあります。 表側矯正の中でも、歯の表側のブラケットを銀色の金属製か白いセラミック製にするかで費用は変わってきます。銀色の金属製ブラケットで表側矯正を行う方法が、あらゆる矯正装置の中で最も費用が抑えられます。
04
マウスピース矯正と比較して頻繁に装置を着脱する必要がない
表側矯正の装置は、ご自身で取り外すことはできません。毎月の来院時は、ブラケットを装着したままワイヤーのみ外して調節します。 マウスピース型矯正装置と異なり取り外しの煩わしさはなく、つけ忘れるというようなこともないので確実に歯を動かすことができます。
表側矯正(ワイヤー矯正)のデメリット
01
前から装置が見える
表側矯正の大きなデメリットです。このデメリットを補う方法として、当院では目立ちにくいセラミックブラケットやホワイトワイヤーを選択することが可能です。
02
唇が閉じにくい
表側に設置した装置が邪魔になり、唇が閉じにくくなることがあります。
03
口内炎ができやすい
ブラケットやワイヤーが粘膜を傷つけることがあります。その結果、口内炎などが生じやすくなります。
04
月に1回の通院が必須
ワイヤー矯正の場合は月に1回の調節が効果的と言われています。患者様には基本的に月に1回、通院していただきます。
|
表側矯正 |
裏側矯正 |
|
|
審美性 |
表側から装置が見えてしまうが、 |
審美性が高い |
|
治療期間 |
部分矯正:6か月〜1年 |
部分矯正:6か月〜1年 |
|
費用 |
費用が比較的抑えられる |
表側と比較すると費用が高い |
|
清掃性 |
裏側よりも歯みがきしやすい |
装置の周りに汚れが溜まりやすいため |
表側矯正(ワイヤー矯正)治療によってかかる費用
| 料金 | 一般的な治療期間・通院回数 | |
|---|---|---|
| 相談料 | 初診相談は無料です。 お気軽にご相談ください。 |
- |
| メタルワイヤー | 74.8万円(税込82.3万円) | 2年・24回 |
| セラミックブラケット+メタルワイヤー | 81.4万円(税込89.6万円) | 2年・24回 |
| セラミックブラケットホワイトワイヤー | 88万円(税込96.8万円) | 2年・24回 |
| 検査料 | 5,000円(税込5,500円) | - |
| 管理料 | 3,000円(税込3,300円) | - |
| 保定装置料 | 15,000円(税込16,500円)/個 | - |
| 観察料 | 2,000円(税込2,200円) | - |
※矯正歯科治療は公的医療保険適用外の自費(自由)診療となります。
※治療内容によって費用が変動する場合がございます。詳細はご相談ください。

01
カウンセリング
問診票と口腔内スキャンデータをもとに、現状の噛み合わせの問題点とそれに対する治療法、そして大まかなお見積りをご説明します。 歯並びに関するお悩みや治療へのご要望など、どんな些細なことでも遠慮なくご相談ください。 カウンセリング当日に検査のご希望がございましたら、お気軽にスタッフにお伝え下さい。
02
精密検査
より詳細な治療計画を立案するため、お口の中の精密検査を実施します。具体的には、口腔内写真撮影、顔面写真撮影、パノラマX線撮影、頭部X線規格写真撮影、3D口腔内スキャンなどを行います。 複数の検査を行うことで、上下の顎骨のバランスや噛み合わせについてより的確に診断することができます。
03
矯正治療
矯正装置を装着し、歯を動かし始めます。通院頻度は基本的に1か月に1回程度です。 1回の治療時間は20〜60分です。 1〜3か月毎にお口の中の写真を撮影し、患者さまへ治療の進行度をお伝えします。 写真で歯並びの変化を実感していただくことは、患者さまご自身のモチベーションを保つことにもつながります。
04
保定・メンテナンス
歯の移動を終えると、矯正装置をすべて取り外します。装置の撤去後は、後戻りを防止して歯並びを安定させるために、保定装置(リテーナー)を使っていただきます。 保定開始後すぐは1~3か月毎、歯列の後戻りが少なくなってからは3~6か月毎にご来院いただき、噛み合わせと保定装置の状態をチェックします。
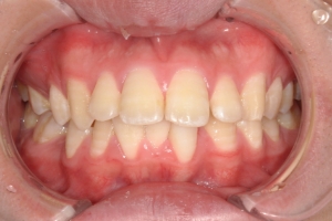
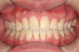
BEFORE
治療前



PROCESS
半年



AFTER
治療後



上下顎の叢生量(ガタガタの量)が中等度で、上顎前歯が唇側に傾いてとび出ていたので、そうした問題を改善するために小臼歯の抜歯が必要と診断しました。初診時の口元のライン(Eーライン)がきれいでしたので、治療過程で口元が引っ込みすぎないように注意しました。治療後は噛み合わせが良くなり、口元のラインも概ね維持ができたため、患者さまにも非常に満足していただけました。
表側矯正(ワイヤー矯正)でよくある質問
ワイヤー矯正中に痛みが発生することはありますか?
ワイヤー矯正中の痛みには、歯が動くときの痛みと、ワイヤー矯正装置の凹凸が粘膜に擦れる際の痛みの2種類あります。
歯が動くときの痛みは、一般的には装置の調節日から3日程度続き、その後は慣れて何も感じなくなります。
装置の凹凸が粘膜に当たって感じる違和感や痛みは、装置をつけてから1週間程度で慣れて感じなくなることが多いです。
痛みや違和感の程度については個人差が大きく、調節から数日は痛みで食事がしづらい方もいれば、始めからほとんど気にならない方もいらっしゃいます。
ワイヤー矯正とマウスピース矯正はどちらがよいでしょうか?
ワイヤー矯正は、ほとんど全ての歯並びに適用することができます。
一方、マウスピース矯正の場合は、歯の根を大きく動かすことが苦手であるため、非常に大きなスペースを閉鎖させる際には適さない場合があります。
いずれの装置が適しているかは、歯並びや奥歯の噛み合わせ、口元のバランスなどを見て総合的に判断することになりますので、カウンセリングを行い。
表側矯正中でも滑舌は悪くなりますか?
口や舌が動かしづらくなるため、最初は「矯正中は滑舌が悪くなる」という意見も見られます。しかし、矯正装置の存在に慣れていないことが主な原因になるため、時間が経つにつれて改善していく傾向にあります。
表側矯正中にホワイトニングはできますか?
表側ワイヤー矯正中は、オフィスホワイトニング・ホームホワイトニング共に行うことはできません。 ホワイトニングでは、漂白効果のある薬剤を歯の表面に塗布し、薬剤が接している部分がホワイトニングされます。しかし、表側ワイヤー矯正では歯の表面にブラケットがついており、治療中は外すことができないので、仮にホワイトニングをしたとしても装置が接している部分には効果が現れないからです。