Spaced Arch

隣り合う歯と歯の間にすき間があり、ぴったりとくっついていない状態の歯列です。
特に上あごの前歯の真ん中間にすき間がある状態を「正中離開」といいます。正中離開は見た目にも目立ち、口元の印象にも大きく影響します。
空隙歯列は見た目の問題だけではなく、言葉が発音しづらいといった歯の機能的な問題や、すき間に食べ物が停滞してむし歯になりやすいといった健康上のリスクが出る場合もあります。
空隙歯列は矯正治療によって改善できるケースが多く、比較的短期間で矯正の効果を得られる症状になります。
空隙歯列(すきっ歯)になる原因

先天的な要因
遺伝的にあごが大きかったり、歯が小さかったり、またはその両方が組み合わさっている場合はすきっ歯になります。
歯の大きさが極端に小さいものを「矮小歯」といいます。矮小歯があると、通常の歯が生えるはずだったスペースが埋まりきらず、すきっ歯になるのです。
矮小歯には、歯の形がそのまま小さくなったものや、本来の歯の形態と異なり円錐状や蕾状の形をしているものがあります。
永久歯は上下合わせて28本あります。先天的に歯の本数が少ない場合は、欠如している歯が多いほどすきっ歯になる傾向があります。
永久歯の数は揃っているけれども、何らかの理由であごの中に留まってしまい生えてこない(埋伏している)場合にも、スペースが余りすきっ歯になることがあります。
過剰歯とよばれる歯の形をした硬い異物があごの骨の中に埋まっていることがあり、過剰歯に押されるようにして歯と歯の間が離れてすき間ができてしまうケースもあります。
上あごの正中(真ん中)に過剰歯があると、前歯が左右に押し広げられ真ん中にすき間が生じます(正中離開)。
過剰歯はあごの骨の中にあることが多く、確認にはレントゲンによる検査が必要です。
上唇小帯とは、上唇の裏側から上の前歯の歯茎につながっているスジです。通常は口腔の発育とともに形態、位置、大きさが変化し、小帯の付着部位は徐々に上に移動していきます。
永久歯列が完成する時期になっても小帯の付着部位が歯の根元近くまで伸びていると、前歯の間にすき間が残り正中離開が生じやすいです。

後天的な要因
子どものころに「指しゃぶり」や「下唇を噛む」、「舌を前歯の裏に押しつける」などの癖があると、歯が内側から押されて歯と歯の間が広がり、すきっ歯の原因となります。
特に舌を押し付ける癖は、大人でも無意識に残っている場合があるため注意が必要です。
このような癖が続いていると、治療後の歯並びが安定しづらく後戻りの原因になるので、日常的に意識して舌や唇の癖を直しておきましょう。
下の前歯が上の前歯の根元を突き上げるような深い噛み合わせの場合、上の前歯が前に押されてすき間ができることがあります。
歯周病は、歯と歯茎のすき間に細菌が入ることで炎症が起きる病気です。
歯周病が進行すると、歯を支える骨が脆くなることで歯が動きやすくなり、歯と歯の間に不自然なすき間が生じることがあります。
01
咀嚼が不十分になる
歯と歯の間にすき間があると、咀嚼時に食べ物がすき間からはみ出てしまいます。これにより前歯でものが噛み切りにくかったり、奥歯でしっかりとすりつぶすことができないといった咀嚼のしづらさを感じることがあります。
02
発音がしにくい
発音には舌、唇、歯の位置が関係しています。歯と歯の間にすき間があると、発音の際に歯間部から空気が漏れることで正常な発音がしづらくなります。特にサ行、タ行が発音しにくく、滑舌も悪くなることでコミュニケーションが取りづらく感じることがあります。
03
むし歯や歯周病などのリスクが高まる
歯の間に中途半端なすき間があると、かえってデンタルフロスや歯間ブラシなどの補助清掃用具が使いにくい場合があります。歯垢を取り残し長時間停滞させてしまうと、むし歯や歯周病の原因になります。
04
審美的なコンプレックスを感じる
空隙歯列の中でも、特に上の前歯の真ん中のすき間(正中離開)は見た目にも目立つため、コンプレックスを抱える方が多いです。歯が見えないよう口元を気にするあまり、コミュニケーションがとりづらく感じることもあります。また、お子さまの場合はからかいの対象となることもあり、悩みを抱えてしまうと心身の健やかな発育に影響します。このようなケースでは、矯正治療で審美的なコンプレックスを解消することが、自信を高めることにつながります。
前歯の空隙(正中離開)は目につきやすく、コンプレックスに感じる方が多いです。
また、すきっ歯には見た目的な問題だけでなく、前歯で食べ物が噛み切れなくなったり、
空気がすき間から漏れてしまい発音障害を引き起こす問題もあります。
空隙を閉鎖する方法は、大きく分けて
・歯列矯正治療
・補綴治療(ブリッジ、インプラントなど)
・修復治療(ダイレクトボンディング)
の3種類に分けられ、単体もしくは組み合わせて治療します。
どの治療を選択するかは、空隙の大きさや位置、治療期間などの条件によって異なります。
歯列矯正の代表的な治療法には、ワイヤー矯正とマウスピース矯正があります。
すきっ歯の治療は非抜歯のことが多いですが、いずれの治療でも、まずは空隙の原因の特定から始めます。
骨の中に過剰歯が埋まっている場合や、上唇小帯の付着異常がある場合などは、原因を取り除くために外科処置が必要になります。
また歯周病が原因の場合には、歯周病治療を並行しながら矯正治療を始める時期も含めて検討していきます。
治療期間はワイヤー矯正で1~3年、マウスピース矯正で2年ほどかかります。
舌で前歯を押す癖や下唇を噛む癖が残っている場合は、矯正治療ですき間を閉じても治療後に再発するリスクが非常に高いです。日常的に意識して舌や唇の癖を直しておきましょう。

ワイヤー矯正(表側矯正、裏側矯正)
歯列の表側にブラケットという装置を接着し、ブラケットに矯正用ワイヤーを通すことでワイヤーの力を歯に加えて、少しづつ歯を動かしていきます。
スペースを最大限に利用して前歯を後方移動したり、奥歯を後方移動する場合は歯科矯正用アンカースクリューを併用します。また複数あるすき間を1箇所に集めるなど、細かなスペースのコントロールにも歯科矯正用アンカースクリューは有用です。
ワイヤー矯正は治療技術が確立されており、抜歯・非抜歯に関わらずほぼすべての症例で安定した治療結果を得ることができます。

マウスピース矯正
プラスチック製のマウスピースをオーダーメイドで数十枚作製し、患者さまに1週間に1回程度の頻度で交換していただくことで理想の歯並びへと近づけていきます。
歯と歯の間のすき間が広くあいており歯を大きく動かす必要があるケースは、決められたマウスピースの装着時間や使用方法を守っていても、シミュレーション通りに歯が動かなかったりかみ合わせが崩れてしまうなど、マウスピース矯正では難易度の高いケースとされます。
矯正治療によってかかる費用
|
治療名 |
項目 |
費用 |
|
マウスピース矯正 |
- |
78万円 |
|
表側ワイヤー |
メタル・セラミック |
68万円 |
|
メタルワイヤー・セラミック |
74万円 |
|
|
ホワイトワイヤー |
80万円 |
|
|
裏側ワイヤー |
ハーフリンガル |
100万円 |
|
フルリンガル |
120万円 |
|
|
検査料 |
- |
5,000円 |
|
管理料 |
- |
3,000円 |
|
保定装置料 |
- |
15,000円 |
|
観察料 |
- |
2,000円 |

01
カウンセリング
問診票と口腔内スキャンデータをもとに、現状の噛み合わせの問題点とそれに対する治療法、そして大まかなお見積りをご説明します。歯並びに関するお悩みや治療へのご要望など、どんな些細なことでも遠慮なくご相談ください。カウンセリング当日に検査のご希望がございましたら、お気軽にスタッフにお伝え下さい。診療の混雑具合にもよりますが、当日に精密検査が可能な場合もあります。
02
精密検査
より詳細な治療計画を立案するため、お口の中の精密検査を実施します。具体的には、口腔内写真撮影、顔面写真撮影、パノラマX線撮影、頭部X線規格写真撮影、3D口腔内スキャンなどを行います。複数の検査を行うことで、上下の顎骨のバランスや噛み合わせについてより的確に診断することができます。
03
矯正治療
矯正装置を装着し、歯を動かし始めます。通院頻度は装置によって変わりますが、基本的には3~8週間に1回程度です。 1回の治療時間は20〜60分です。
1〜3か月毎にお口の中の写真を撮影し、患者さまへ治療の進行度をお伝えします。写真で歯並びの変化を実感していただくことは、患者さまご自身のモチベーションを保つことにもつながります。
04
保定
歯の移動を終えると、矯正装置をすべて取り外します。装置の撤去後は、後戻りを防止して歯並びを安定させるために、保定装置(リテーナー)を使っていただきます。 保定開始後すぐは1~3か月毎、歯列の後戻りが少なくなってからは3~6か月毎にご来院いただき、噛み合わせと保定装置の状態をチェックします。 保定期間の長さは治療内容にもよって変わりますが、一般的には矯正治療に要した期間と同じ程度必要になることが多いです。
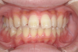
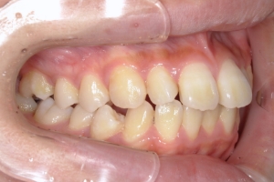
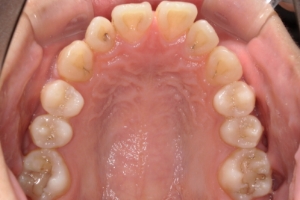
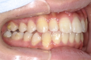
BEFORE
治療前



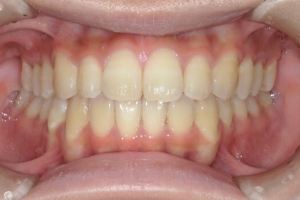
PROCESS
半年



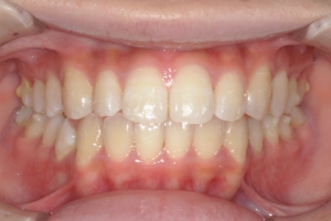
AFTER
治療後



下の前歯が上あごの歯ぐきに当たるほど噛み合わせが深く、そのことが原因で上顎歯列の正中にすき間(正中離開)が生じていました。部分矯正ですき間を無理やり閉じても、噛み合わせが深いままでは治療後の再発リスクが高くなります。そのため全体矯正で奥歯の噛み合わせを整え、噛み合わせを浅くしつつ前歯を並べました。正中離開は戻りやすい傾向があるので、再発を防ぐため固定式リテーナーを推奨しています。