Lingual

表側矯正では装置が目立つので、つい口元に目が向いてしまいます。裏側矯正ではブラケットとワイヤーを歯の裏側に装着するので、周囲に知られずに矯正治療をすることが可能です。
接客業など人前に出ることが多い職業の方や、目立つ矯正装置をつけることに抵抗がある方におすすめの治療法です。
表側矯正と同じワイヤー矯正に分類されますが、裏側矯正は歯を動かすメカニズムが異なり難易度が高い治療です。経験が豊富な矯正専門の医師に治療してもらうことをおすすめします。

受け口

開咬

出っ歯

でこぼこ
|
裏側矯正 |
表側矯正 |
|
|
審美性 |
審美性が高い |
表側から装置が見えてしまうが、 |
|
治療期間 |
全顎 2~3年程度 |
全顎 2〜3年程度 |
|
費用 |
表側と比較すると費用が高い |
費用が比較的抑えられる |
|
清掃性 |
装置の周りに汚れが溜まりやすいため |
裏側よりも歯みがきしやすい |
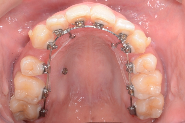
裏側矯正の方法は2種類あります

ハーフリンガル
上の歯を裏側矯正、下の歯を表側矯正で治療する方法です。 装置がもっとも目立つ上の歯のみを裏側矯正にすることによって、治療の費用を抑えることができます。
下の歯には表側に装置をつけますが、審美性に配慮したセラミックブラケットとホワイトワイヤーを使用します。

フルリンガル
上下とも裏側矯正で治療する方法です。歯の裏側は複雑な形状のため、装着するブラケットはひとつひとつオーダーメイドで製作する必要があります。
非常に高い精度で装置が出来上がりますが、その分、他の矯正装置と比較して治療費が高額になります。
表側矯正で治療できるケースであれば、ほとんどの場合で裏側矯正でも治療が可能です。
特に出っ歯や前歯が噛み合わない開咬といった症状では、表側矯正よりもスムーズに歯を動かせる傾向にあります。
裏側矯正のメリット
01
歯の裏側に装置をつけるので目立ちにくい
表側矯正の大きなデメリットは装置が目立つことです。裏側矯正は表側矯正と比較し、装置が目立ちにくいため、矯正治療をしていることが他人にわかりにくいです。
02
固定源としての奥歯が動きにくく、前歯を引っ込めやすい
裏側矯正は基本的にはどのような状態の患者さまでも適応可能ではありますが、特に出っ歯傾向の患者さまの場合には、前歯を後ろに引っ込める際に裏側矯正は有効です。
03
歯の裏側は唾液の作用が働くため、むし歯になりにくい
矯正の有無に関わらず、歯の裏側は表側と比べて唾液が循環しやすく、殺菌・自浄作用によりむし歯になりにくいと言われています。
04
マウスピース型矯正装置と比較して頻繁に装置を着脱する必要がない
裏側矯正の治療中は基本的にブラケットをつけっぱなしで、ワイヤーは月に1回の調節時のみ外します。そのため、基本的に患者さまご自身に取り外しをしてもらう必要はありません(ゴムかけ等はご協力いただく可能性があります)。
05
装置が歯の裏側にあるので、スポーツ中に唇を傷つけることがない
表側矯正の装置は唇や頬の内側に口内炎ができやすく、スポーツ中にボール等が当たると唇が傷つくことがあります。裏側矯正のそのような心配がありません。
06
矯正治療中でもホワイトニングができる
矯正治療と同時にホワイトニングを希望される患者さは非常に多いです。歯科医院でホワイトニングを行う“オフィスホワイトニング”であれば、裏側矯正治療中にホワイトニングも行うことができます。
裏側矯正のデメリット
01
違和感が比較的大きい
他の装置と比較して、裏側矯正は舌が常に当たりやすいため、違和感が大きいです。特に下の歯も裏側の場合、違和感は非常に大きくなります。
02
舌が歯の裏側に当たるので、サ行、タ行、ラ行が発音しにくくなる
裏側矯正は発音にも影響が出ます。人前で話す仕事をされている方は発音に影響が出ると仕事が回らなくなるため、芸能人などで裏側矯正をしている方は意外と少ないです。
03
表側矯正よりも費用が高額になる
裏側矯正は完全オーダーメイドで装置を作製するため、表側矯正と比較すると費用が高額になります。
04
1回あたりの処置時間が長い
裏側矯正は、矯正治療の中でも特に繊細な調節が求められます。そのため、1回あたりの処置時間が長くなる傾向にあります。
05
取り扱いのできる歯科医院が少ない
裏側矯正には特別な技術や知識、経験、器具が必要です。そのため、多くの歯科医院では裏側矯正を取り扱っていないか、推奨していません。そのため、もし治療中の患者さまあが引っ越し等で転院される場合には、転院先の医院が見つかりにくいことがあります。

当院の裏側矯正では、事前に歯並びや予想される口元の変化のシミュレーションを見てもらったうえで患者さまと話し合いながら治療を進めております。
治療中も、定期的にレントゲン撮影を行い、歯並びや口元の変化をこまめに評価しながら治療プランを検討していきます。
また、1~2か月に1回の頻度で口の中の写真撮影も行い、治療の進行状況について歯科医師とコミュニケーションをとりながら患者さまが納得いく治療を進めています。
その写真は患者さまのスマホアプリにもお送りしますので、歯の形が変わった様子も確認いただけます。
特に「出っ歯を治したい」「口ゴボを治したい」方は当院へご相談をお待ちしております。
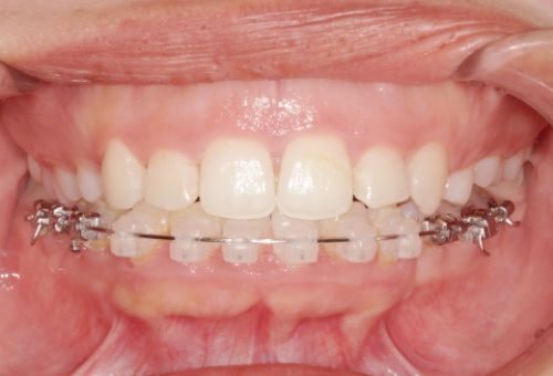
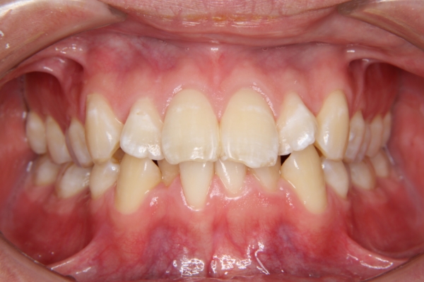
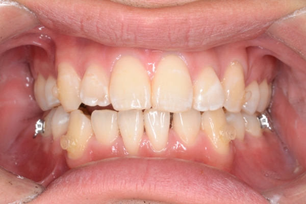
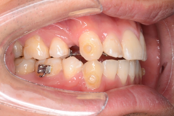
叢生(歯のガタガタ)
BEFORE
治療前



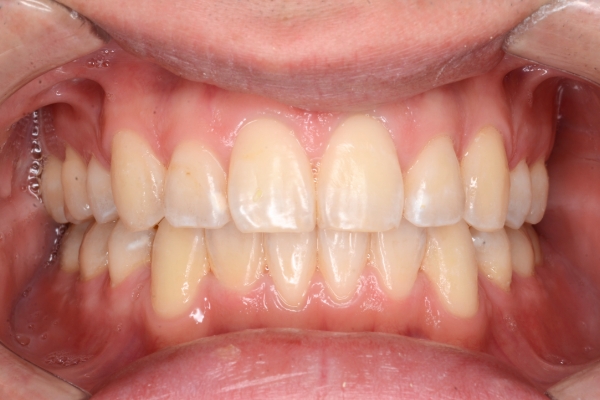
PROCESS
治療開始から1年2ヶ月



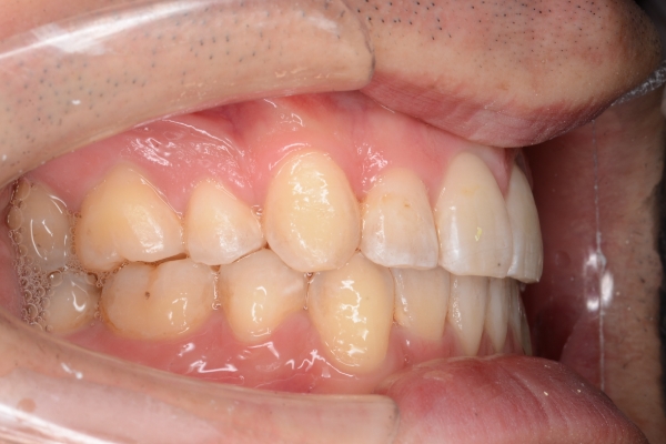
AFTER
治療後



上下顎の叢生量(ガタガタの量)が中等度で、上顎前歯が唇側に傾いてとび出ていたので、そうした問題を改善するために小臼歯の抜歯が必要と診断しました。初診時の口元のライン(Eーライン)がきれいでしたので、治療過程で口元が引っ込みすぎないように注意しました。治療後は噛み合わせが良くなり、口元のラインも概ね維持ができたため、患者さまにも非常に満足していただけました。

01
カウンセリング
問診票と口腔内スキャンデータをもとに、現状の噛み合わせの問題点とそれに対する治療法、そして大まかなお見積りをご説明します。 歯並びに関するお悩みや治療へのご要望など、どんな些細なことでも遠慮なくご相談ください。 カウンセリング当日に検査のご希望がございましたら、お気軽にスタッフにお伝え下さい。
02
検査
より詳細な治療計画を立案するため、お口の中の精密検査を実施します。具体的には、口腔内写真撮影、顔面写真撮影、パノラマX線撮影、頭部X線規格写真撮影、3D口腔内スキャンなどを行います。 複数の検査を行うことで、上下の顎骨のバランスや噛み合わせについてより的確に診断することができます。
03
矯正治療
矯正装置を装着し、歯を動かし始めます。通院頻度は装置によって変わりますが、基本的には3~8週間に1回程度です。 1回の治療時間は20〜60分です。 1〜3か月毎にお口の中の写真を撮影し、患者さまへ治療の進行度をお伝えします。 写真で歯並びの変化を実感していただくことは、患者さまご自身のモチベーションを保つことにもつながります。
04
保定
歯の移動を終えると、矯正装置をすべて取り外します。装置の撤去後は、後戻りを防止して歯並びを安定させるために、保定装置(リテーナー)を使っていただきます。 保定開始後すぐは1~3か月毎、歯列の後戻りが少なくなってからは3~6か月毎にご来院いただき、噛み合わせと保定装置の状態をチェックします。
矯正方法によってかかる期間・費用など
| 料金 | 一般的な治療期間・通院回数 | |
|---|---|---|
| 相談料 | 初診相談は無料です。 お気軽にご相談ください。 |
- |
| 裏側ワイヤー(上下) | 100〜120万円(税込110〜132万円) | 2.5年・30回 |
| 裏側ワイヤー(上のみ・下のみ) | 5〜48万円(税込5.5〜52.8万円) | 1.5年・18回 |
| 検査料 | 5,000円(税込5,500円) | - |
| 管理料 | 3,000円(税込3,300円) | - |
| 保定装置料 | 15,000円(税込16,500円)/個 | - |
| 観察料 | 2,000円(税込2,200円) | - |
※矯正歯科治療は公的医療保険適用外の自費(自由)診療となります。
※治療内容によって費用が変動する場合がございます。詳細はご相談ください。
裏側矯正に関するよくある質問
裏側矯正は保険が適用されますか?
裏側矯正を含めた歯列矯正は、基本的には健康保険が適用されません。歯並びや噛み合わせなどを審美的な目的で改善するケースが多く、審美的な目的では適用されないため注意が必要です。
裏側矯正の治療中は話しにくい状態になったりしますか?
矯正装置が歯の裏側に付くため、舌に違和感を覚え「話しにくい」と感じる方は少なからずいらっしゃいます。
裏側矯正治療は痛いと聞いて不安ですが、実際はどうでしょうか?
痛みは装置の調節日から2〜3日、長くて1週間程度で収まります。矯正治療の痛みはずっと続くわけではないのでご安心ください。
痛みに耐えられなくて続けられないケースはほとんどありませんが、矯正治療の痛みに関しても患者さまひとりひとりへ配慮した治療を行っていますので、心配なことは気兼ねなくご相談ください。
途中で抜歯をする場合、抜いた部分は目立ってしまいますか?
抜歯した隙間には、ご希望に応じて仮歯を装着します。隙間は6ヶ月〜1年程度かけて閉じていきますので、徐々に気にならなくなっていきます。
裏側矯正治療中に食べてはいけない物はありますか?
装置を壊すおそれのある食べ物は避けてください。
お餅やキャラメルなど粘性の高い食品は装置にからまると取りづらい他、装置が外れてしまう恐れがあります。
食べてはいけないものではありませんが、食べる際には注意が必要です。