Partial

上下の歯全体ではなく、前歯などの一部の歯のみに行う矯正を部分矯正といいます。 一部のガタガタを整えたり、かぶせ物(補綴)のために歯を動かす治療法です。
動かす歯の本数や移動量が少ないので、2か月〜1年ほどの期間で治療を終えられることが多いです。
部分矯正では動かせる歯が限られますので、適応症例も限られます。
例えば、奥歯の噛み合わせにずれがある患者さまが前歯のみの部分矯正を望まれても、噛み合わせが治らないどころか悪化してしまう可能性があるので、おすすめしておりません。
部分矯正が気になる方は、お気軽にご相談ください。ご自身の歯並びが適応かどうか、お伝えさせていただきます。

乱ぐい歯
前歯がガタガタに並んでいて見栄えが悪い状態です。
八重歯も乱ぐい歯にあたります。

すきっ歯
前歯の間に隙間がある状態です。

軽度の出っ歯(上顎前突)
重度の出っ歯の場合、全体矯正が必要になる場合があります。
部分矯正と全体矯正の違い
|
全体矯正 |
部分矯正 |
|
|
費用 |
高い |
安い |
|
医療費控除 |
還付可能 |
還付可能 |
|
期間 |
2〜3年 |
6ヶ月〜1年 |
|
痛み |
あり |
あり |
|
噛み合わせ |
◎ |
△ |
|
見た目 |
◎ |
△〜○ |
|
装置の種類 |
マウスピースも可能 |
マウスピースも可能 |

マウスピース型矯正装置(インビザライン)
全体矯正で使用するものと同じ装置です。デジタル技術を用いて作製したマウスピースを、週に1回程度患者さまご自身で交換していただくことで歯を動かします。
マウスピース型矯正装置は透明で薄型の装置なので、装着していても目立ちにくいという点が大きなメリットです。
全体矯正と大きく異なる点は、使用できるマウスピースの枚数です。
全体矯正ではマウスピースの作製枚数に制限はなく、平均的に40〜50枚使用しますが、部分矯正ではシステム上マウスピースの上限が26枚と決まっています。このため、適応症例が限られます。

表側嬌正
全体矯正で使用するものと同じ装置を、部分的に使用します。歯列の表側にブラケットと矯正用ワイヤーを装着して、歯並びの乱れを細かく整えていきます。
できる限り目立ちにくい装置をご希望の方には、ホワイトワイヤーやセラミックブラケットをご用意しております。
マウスピース型矯正装置と異なり、矯正用ワイヤーの使用本数に上限はありません。回数を気にすることなく、歯並びの気になる部分の微調整を繰り返すことが可能です。
部分矯正のメリット
01
気になる部分をピンポイントで治療できる。
奥歯の噛み合わせはそのままで、気になる部分にだけ装置をつけて動かし、歯並びを変えることができます。
02
治療期間が2か月〜1年程度。
部分治療では、前歯のみ並べる、倒れた歯をおこすなど範囲が限定的なので、動かす歯の数、移動する距離が少なくなります。
03
他の矯正装置と比較し安価で治療が可能である。
全体矯正と比べて装置をつける範囲が少ないので、装置代が抑えられ、治療に要する期間も比較的短くなる(=通院ごとの装置調節料を抑えられる)傾向があります。
04
目立ちにくく、痛みや違和感が少ない傾向がある
装置をつける範囲が部分的なため、表側ワイヤー矯正でも取り付ける位置によっては比較的目立ちにくい場合があります。また、全体矯正と比較して動かす歯の数が少ない分、装着時の痛みや違和感を抑えられる傾向があります。
部分矯正のデメリット
01
適応症例が限られる。
部分矯正では一部の範囲しか治療しないため、歯を動かせる距離や方向に制限があります。このため歯並びが大きくズレてしまっているような症例には対応できません。
部分矯正を適応できるケースは、歯を動かす距離が短い症例や、歯の向きなどはあまり変えなくて良いような症状の軽い症例のみとなります。
02
噛み合わせを改善させることはできず、むしろ悪化する場合がある。
部分矯正はあくまで1本〜数本の歯並びをきれいに整える治療のため、奥歯の噛み合わせのずれがもともとある方は、そのずれを改善することはできません。
仮に奥歯のずれがある状態で前歯をきれいに並べた場合、上下の前歯の噛み合わせが悪化することがあります。
部分矯正はあくまでも審美面の改善を主な目的とした治療方法とお考えください。
部分矯正治療によってかかる費用
|
項目 |
費用 |
一般的な治療期間・通院回数 |
|
|
相談料 |
- |
初診相談は無料です。 |
- |
|
マウスピース型矯正装置 |
マウスピース型矯正装置 |
55万円 |
10ヶ月・6回 |
|
マウスピース型矯正装置 |
64万円 |
1.5年・10回 |
|
|
表側ワイヤー |
上 or 下の前歯のみ |
35万円 |
1年・10回 |
|
上下の前歯 |
48万円 |
1年・10回 |
|
|
裏側ワイヤー |
上 or 下の前歯のみ |
48万円 |
1年・10回 |
|
上下の前歯のみ |
62万円 |
1年・10回 |
|
|
検査料 |
- |
5,000円 |
- |
|
管理料 |
- |
3,000円 |
- |
|
保定装置料 |
- |
15,000円 |
- |
|
観察料 |
- |
2,000円 |
- |
※矯正歯科治療は公的医療保険適用外の自費(自由)診療となります。
※治療内容によって費用が変動する場合がございます。詳細はご相談ください。

01
カウンセリング
問診票と口腔内スキャンデータをもとに、現状の噛み合わせの問題点とそれに対する治療法、そして大まかなお見積りをご説明します。歯並びに関するお悩みや治療へのご要望など、どんな些細なことでも遠慮なくご相談ください。カウンセリング当日に検査のご希望がございましたら、お気軽にスタッフにお伝え下さい。診療の混雑具合にもよりますが、当日に精密検査が可能な場合もあります。
02
精密検査
より詳細な治療計画を立案するため、お口の中の精密検査を実施します。具体的には、口腔内写真撮影、顔面写真撮影、パノラマX線撮影、頭部X線規格写真撮影、3D口腔内スキャンなどを行います。複数の検査を行うことで、上下の顎骨のバランスや噛み合わせについてより的確に診断することができます。
03
矯正治療
矯正装置を装着し、歯を動かし始めます。通院頻度は装置によって変わりますが、基本的には3~8週間に1回程度です。 1回の治療時間は20〜60分です。
1〜3か月毎にお口の中の写真を撮影し、患者さまへ治療の進行度をお伝えします。
写真で歯並びの変化を実感していただくことは、患者さまご自身のモチベーションを保つことにもつながります。
04
保定
歯の移動を終えると、矯正装置をすべて取り外します。装置の撤去後は、後戻りを防止して歯並びを安定させるために、保定装置(リテーナー)を使っていただきます。
保定開始後すぐは1~3か月毎、歯列の後戻りが少なくなってからは3~6か月毎にご来院いただき、噛み合わせと保定装置の状態をチェックします。
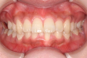
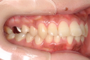
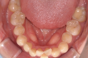
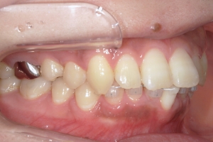
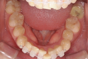
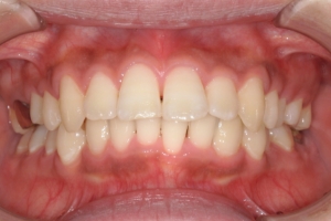
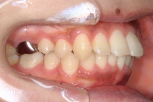
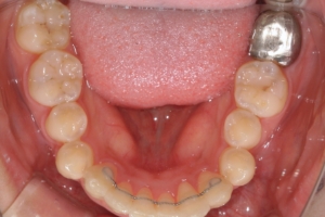
BEFORE
治療前



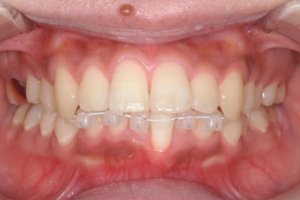
PROCESS
半年



AFTER
治療後



奥歯の噛み合わせは良好で、尚且つガタガタの量が中程度でしたので、部分矯正の適応と診断しました。この方は上の前歯の並びが概ね綺麗だったので、装置は下の前歯のみでの治療が可能でした。