Child
1期治療

乳歯から永久歯への生えかわりの最中に行う矯正治療を、1期治療といいます。
1期治療ではあごの成長を利用した矯正治療ができるので、歯の生えるスペースを確保して成長後の抜歯治療の必要性を少なくすることができます。
上あごや下あごの成長量が少ないことで “受け口” や “出っ歯” が生じている場合は、あごの成長を促すことでバランスを整えることが可能です。

矯正治療のスタートが必要な時期は、お子さまそれぞれで異なります。
その理由の一つに、上あごと下あごの成長ペースの差があります(グラフ参照)。
上あごは10歳頃には成長が止まりますが、下あごは12歳以降に大きく成長します。あごの発育の遅れが背景にある出っ歯や受け口は、顎骨の成長が止まってしまう前であれば、あごの発育を促すことで改善できる可能性があります。
このような理由から、特に上あご・下あごの成長が噛み合わせに影響しているお子さまでは、治療をはじめるタイミングが大切です。
全ての歯が永久歯に生え代わってから矯正治療(2期治療)を行う場合、歯を抜かなければ歯並びが改善しない等のリスクがあります。〜10歳の時期(1期)での治療は、多くのメリットを得ることができます。
「大人になったときに歯並びが気になるようなら、そのときに矯正治療を考えればよい」
「大人になったときに自分で稼いだお金で矯正治療をやりなさい」
と考える方もいらっしゃいますが、永久歯が生え揃う頃にはあごの成長も終わりに近づいてしまい、発育を促す治療はできません。
あごの発育の遅れが残ったままの場合、将来的に抜歯や外科矯正(手術を伴う矯正治療)が必要となる場合もあります。

拡大床
歯列を横方向へ拡大する装置です。ご自身で取り外しが可能です。装置の中央にネジがついており、保護者の方に定期的にネジを回していただくことで少しづつ歯列を拡大していきます。 食事や歯磨きの際には取り外すことができるため、取り扱いが楽です。 普段どおりに歯磨きができるのでむし歯になりにくいですが、装着時間が短ければ効果があらわれず治療が滞ってしまいます。

クワドヘリックス
歯の裏側に固定し、歯列を横方向へ拡大する装置です。ご自身では取り外すことができません。
月に1回程度通院いただき、調節を行うことで歯列を拡大していきます。固定式の装置なので食事の度につけ外しする煩わしさはありませんが、ガムやお餅などの粘着性のある食べ物はトラブルになるので注意が必要です。

急速拡大装置
上あごが極端に狭い場合に、上あご自体を横方向へ拡大する装置です。クワドヘリックス同様、歯の裏側に固定するのでご自身で取り外しはできません。
保護者の方に1日1回程度の早いペースでネジを回していただくことで、上あごの左右の骨の継ぎ目部分(正中口蓋縫合)を拡げていきます。鼻腔も広がることで鼻呼吸がしやすくなると言われています。

上顎前方牽引装置
(フェイシャルマスク)
反対咬合・下顎前突(受け口)の改善に用いられる装置です。上あごの発育が遅れているような場合に効果があります。 ご自身で取り外しが可能で、ご自宅にいる間(主に寝ているとき)使用していただきます。フックにゴムをかけて引っ張ることで上あごの前方への成長を促します。

ヘッドギア
上顎前突(出っ歯)の改善に用いられる装置です。ご自身で取り外しが可能で、ご自宅にいる間(主に寝ているとき)使用していただきます。 頭部(頸部)のゴムバンドが後方へ引く力を、フェイスボウを介して上あごの奥歯に伝えることで、奥歯が前にこないように抑えたり、前歯を後方に移動させることができます。

バイオネーター
上顎前突(出っ歯)の改善に用いられる装置です。下あごの発育が遅れている場合に効果があります。 ご自身で取り外しが可能で、ご自宅にいる間(主に寝ているとき)使用していただきます。下あごの成長を促すと同時に、組み込まれているワイヤーを用いて歯列を拡大することもできます。

舌側弧線装置
(リンガルアーチ)
細い弾線で歯を裏側から押すことで、1本〜数本の歯を傾斜移動させる装置です。 軽度の反対咬合や萌出位置の改善に用いられます。ご自身では取り外しができず、通院時に調節を行うことで少しずつ歯を動かします。 リンガルアーチ単体で使用することもありますし、ワイヤー矯正やフェイシャルマスク等と併用することも多いです。

2×4
(ツーバイフォー、ワイヤー矯正)
標準的な治療法としてよく知られるワイヤー矯正を部分的に行う方法です。 永久歯の前歯4本と6歳臼歯(第一大臼歯)の表側にブラケット接着し、矯正用ワイヤーを通して歯を動かします。 金属性のブラケットの他に目立ちにくい白いブラケットもお選びいただけます。 ご自身で取り外しができないので、歯磨きがしづらくむし歯や歯肉炎への注意が必要となります。

マウスピース型矯正装置
(インビザラインファースト)
混合歯列期(歯の生え変わりの時期)のお子さま向けのマウスピース型矯正装置です。 従来は永久歯が生え揃わなければマウスピース型矯正装置(インビザライン)を使用できませんでしたが、近年では1期治療でも使用することが可能となりました。 マウスピース型矯正装置(インビザラインファースト)では、透明なオーダーメイドのマウスピースを週に1回程度交換していくことで歯を動かします。 マウスピースは透明で薄型の装置なので、装着していても目立たないというメリットがあります。
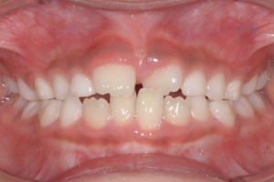
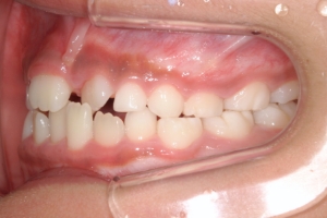
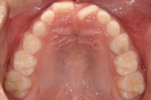
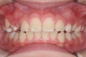
BEFORE
治療前



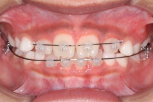
PROCESS
半年



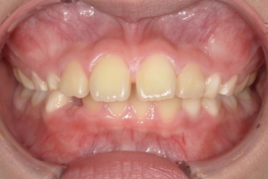
AFTER
治療後



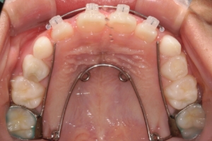
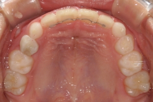
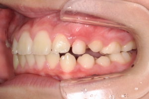
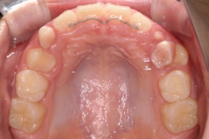
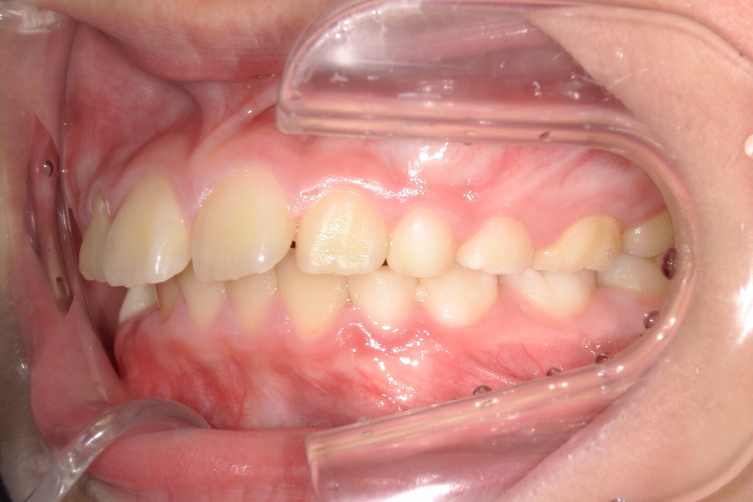
前歯の並ぶスペースが不足していることで、左上の前歯が捻れて内側へ生えてしまい反対咬みになっていました。前歯だけではなく、犬歯〜奥歯が永久歯に生えかわるスペースも足りないことが予測されたため、歯列を拡大しながら前歯および将来的な永久歯が並ぶスペースをつくりました。治療前の上顎歯列のアーチは狭く先細りでしたが、歯列を拡大したことで改善されました。
BEFORE
治療前



AFTER
治療後



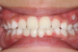
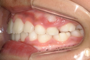
上の前歯が飛び出ていることに加えて、骨格的に下あごが小さいことが上顎前突の原因でした。またそれ以外にも、下の前歯が上顎の歯ぐきに当たるほど噛み合わせが深い(過蓋咬合)状態でした。バイオネーター(取り外し式の装置)を用いて下あごの成長を促しつつ、歯列を広げて上の前歯を内側に入れることで噛み合わせを治療しました。
11歳以降の矯正治療

2期治療
永久歯が概ね生え揃ってからの矯正治療です。治療は大人と同様の方法になります。