Progenia

下の前歯や下あごが前方へ出ている噛み合わせのことで、反対咬合・受け口などとも呼ばれます。
受け口の傾向が現れてくる時期は人によって異なりますが、一般的に成長期の12歳〜16歳ごろにあごの骨が大きく成長することで、ズレが目立つようになります。
下あごが前に出ている状態の “しゃくれ顔” は、不正咬合の中でも、特にコンプレックスに感じられる方が多い顔貌です。
受け口は幼少期からの治療が望ましく、下あごの成長が落ち着くまでは経過観察が必要となるため、通院期間は長くなることが多いです。
下顎前突(受け口)になる原因

先天的な要因
下顎前突は、不正咬合の中でも、特に遺伝が大きく影響する噛み合わせです。下あごが極端に大きい、上あごが極端に小さいといった骨格が遺伝すると、下顎前突になる可能性が高くなります。
どんなに適切な時期に効果的な治療を行っても、遺伝により通常の歯列矯正では治せないほど下あごが成長することがあります。

後天的な要因
子どもの頃の指しゃぶりや、舌の位置が習慣的に低い位置にあるような舌癖が影響して、下顎前突につながるケースもあります。
また鼻詰まりなどによる口呼吸の習慣もお口周りの筋力の低下を招き、あごの成長のバランスが崩れ下顎前突を助長してしまう要因になります。
01
咀嚼が不十分になる
前歯の重なりが浅い、あるいは反対になっていることで、前歯で食べ物を噛み切りにくい場合があります。また食事の際に奥歯の一部しか噛めないため、食べ物を細かく咀嚼しにくくなります。
02
発音がしにくい
発音には舌、唇、歯の位置が関係しています。前歯が反対咬合だと、発音の際に歯間部から空気が漏れることで正常な発音がしづらくなります。特にサ行、タ行が発音しにくく、滑舌も悪くなることでコミュニケーションが取りづらく感じることがあります。
03
成長とともに受け口が目立つようになる
前歯の反対咬合をそのままにしておくと、上の前歯がさらに内側へ倒れ込んだり、下の前歯がさらに前方へ飛び出るなど、受け口が悪化する場合があります。また下あごは身長の伸びる思春期ごろ(12〜16歳)に急激に大きくなりますので、骨格性の受け口のお子さまが上あごの成長促進の時期(〜10歳)を逃してしまうと、成長とともに下あごの突出感が目立ってきます。
04
歯が長持ちしない
前歯が正常に噛み合っていないと、歯一本一本にかかる力がアンバランスになり、噛んだ時に特定の歯に強い力、異常な力がかかります。こうした状態が長く続くと、負担の大きな歯が折れたり、割れてしまうリスクが高くなります。
05
審美的なコンプレックスを感じる
下あごが前に出ている状態の "しゃくれ顔"は、不正咬合の中でも、特にコンプレックスに感じられる方が多い顔貌です。下あごは身長の伸びる思春期に急激に成長しますが、この時期にからかわれてしまい深刻な悩みを抱える方もいらっしゃいます。
下顎前突の治療では、
下顎前突の治療には上下のあごの成長が大きく関わるため、成長時期によって内容が異なります。

幼少期
乳歯の段階で反対咬合が生じている場合は、できるだけ早い時期に一度矯正歯科でチェックを受けることが大切です。
この時期はプレオルソという装置を使って、お口周りの筋肉と舌の位置を改善することで間接的に歯並びも改善します。プレオルソは早いお子さまで4歳ごろから使用できます。

小学校低学年(〜10歳ごろ)
上あごは10歳ごろまでに成長を終えますが、下あごは12歳以降に大きく成長します。この成長時期の差が、下顎前突の治療を複雑・長期化させる要因となっています。
身長の伸びを止められないのと同じように下あごの成長自体を抑えることができませんが、早い段階で計画的な治療を行うことで、上あごの成長を促したり下あごの成長する方向を変えることが可能です。上あごの成長の遅れが背景にある受け口は、上あごの成長が止まる10歳ごろまでであれば、成長を促すことで改善できる可能性があります。

小学校高学年〜大人の治療
上あごの成長が止まっている場合は、早ければ永久歯が生えそろうタイミングで、ワイヤーやマウスピースを用いた一般的な歯列矯正治療を行います。ただし下あごの成長がまだ続いている時期に治療する場合は、歯を並べ終えた後も受け口が再発するリスクがあるため、下あごの成長が落ち着くまでは経過観察が必要です。
下あごが極端に大きかったり、上あごが極端に小さい場合は、下あごの成長が止まった後に外科手術を併用して骨の大きさの不調和を整え、良好な噛み合わせへと改善します(外科的矯正治療)。
当院では成長時期にあわせた下記の治療方法を実施しております。

ワイヤー矯正
歯列の表側にブラケットという装置を接着し、ブラケットに矯正用ワイヤーを通すことでワイヤーの力を歯に加えて、少しづつ歯を動かしていきます。
抜歯スペースを最大限に利用して前歯を後方移動したり、奥歯を後方移動する場合は、歯科矯正用アンカースクリューを併用します。
ワイヤー矯正は治療技術が確立されており、抜歯・非抜歯に関わらずほぼすべての症例で安定した治療結果を得ることができます。

マウスピース型矯正装置
プラスチック製のマウスピースをオーダーメイドで数十枚作製し、患者さまに1週間に1回程度の頻度で交換していただくことで理想の歯並びへと近づけていきます。
抜歯をして歯を大きく動かすケースは、決められたマウスピースの装着時間や使用方法を守っていても、シミュレーション通りに歯が動かなかったり、かみ合わせが崩れてしまうなど、マウスピース矯正では難易度の高いケースとされます。

外科的矯正治療
下の顎骨が極端に大きく成長していたり、上の顎骨が極端に小さいなど、骨格的な問題が噛み合わせや顔貌に悪影響を及ぼしている場合、通常のワイヤー矯正やマウスピース矯正では改善ができません。このような場合は「顎変形症」と診断され、手術を併用する外科的矯正治療の適応(保険治療)となります。顎変形症の治療についての詳細はこちらをご覧ください。

上顎前方牽引装置(フェイシャルマスク)
上あごの発育が遅れているようなお子さまに使用します。 口腔内に装着したフックにゴムをかけて前方へ引っ張ることで、上あごの前方への成長を促します。
ご自身で取り外しが可能で、ご自宅にいる間(主に寝ているとき)使用していただきます。小学校低学年のお子さまに大変効果があります。

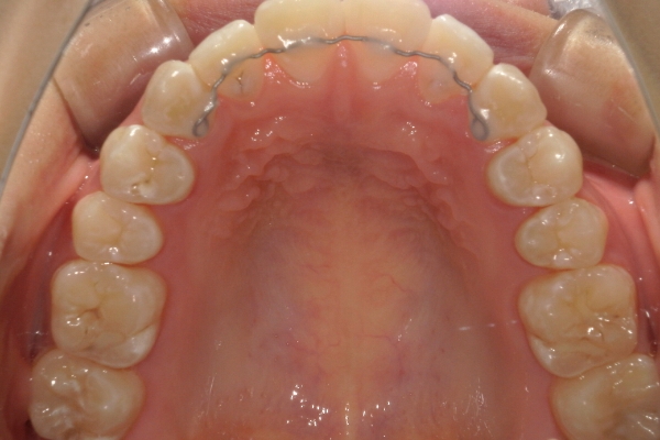
リンガルアーチ
細い弾線で歯を裏側から押すことで、1本〜数本の歯を傾斜移動させる装置です。 軽度の反対咬合や萌出位置の改善に用いられます。
ご自身では取り外しができず、通院時に調節を行うことで少しずつ歯を動かします。
リンガルアーチ単体で使用することもありますし、ワイヤー矯正やフェイシャルマスク等と併用することも多いです。

プレオルソ
既製品のマウスピース型矯正装置です。幼児期の子どもに使用することが多く、固定式装置よりも安価で、お子さまが苦手な歯型を取る工程もありません。
熱によりある程度の形の調整が可能です。お口周りの筋肉と舌の位置を改善することで間接的に歯並びも改善し、これからの発育のためのより良いお口の環境を整える装置となります。
矯正治療によってかかる費用
|
治療名 |
項目 |
費用 |
|
マウスピース矯正 |
- |
78万円 |
|
表側ワイヤー |
メタル・セラミック |
68万円 |
|
メタルワイヤー・セラミック |
74万円 |
|
|
ホワイトワイヤー |
80万円 |
|
|
裏側ワイヤー |
ハーフリンガル |
100万円 |
|
フルリンガル |
120万円 |
|
|
1期治療 |
- |
40万円 |
|
予防矯正 (~6歳まで) |
- |
10万円 |
|
共通項目 |
検査料 |
5,000 |
|
管理料 |
3,000円 |
|
|
保定装置料 |
15,000円 |
|
|
観察料 |
2,000円 |

01
カウンセリング
問診票と口腔内スキャンデータをもとに、現状の噛み合わせの問題点とそれに対する治療法、そして大まかなお見積りをご説明します。歯並びに関するお悩みや治療へのご要望など、どんな些細なことでも遠慮なくご相談ください。カウンセリング当日に検査のご希望がございましたら、お気軽にスタッフにお伝え下さい。診療の混雑具合にもよりますが、当日に精密検査が可能な場合もあります。
02
精密検査
より詳細な治療計画を立案するため、お口の中の精密検査を実施します。具体的には、口腔内写真撮影、顔面写真撮影、パノラマX線撮影、頭部X線規格写真撮影、3D口腔内スキャンなどを行います。複数の検査を行うことで、上下の顎骨のバランスや噛み合わせについてより的確に診断することができます。
03
矯正治療
矯正装置を装着し、歯を動かし始めます。通院頻度は装置によって変わりますが、基本的には3~8週間に1回程度です。 1回の治療時間は20〜60分です。
1〜3か月毎にお口の中の写真を撮影し、患者さまへ治療の進行度をお伝えします。写真で歯並びの変化を実感していただくことは、患者さまご自身のモチベーションを保つことにもつながります。
04
保定
歯の移動を終えると、矯正装置をすべて取り外します。装置の撤去後は、後戻りを防止して歯並びを安定させるために、保定装置(リテーナー)を使っていただきます。 保定開始後すぐは1~3か月毎、歯列の後戻りが少なくなってからは3~6か月毎にご来院いただき、噛み合わせと保定装置の状態をチェックします。 保定期間の長さは治療内容にもよって変わりますが、一般的には矯正治療に要した期間と同じ程度必要になることが多いです。
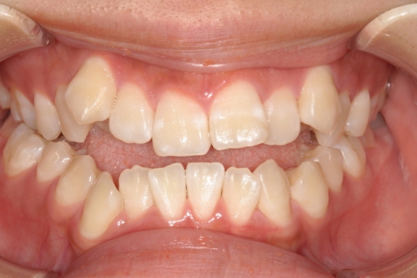
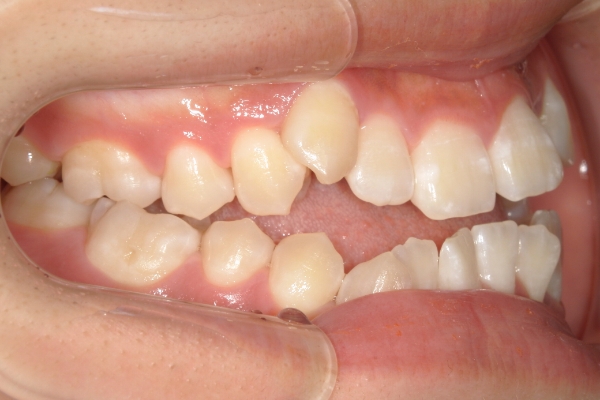
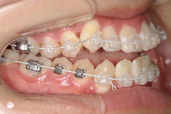
BEFORE
治療前



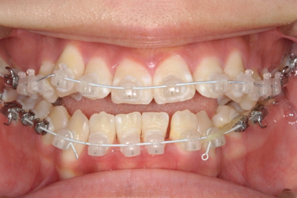
PROCESS
3か月



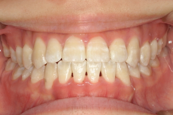
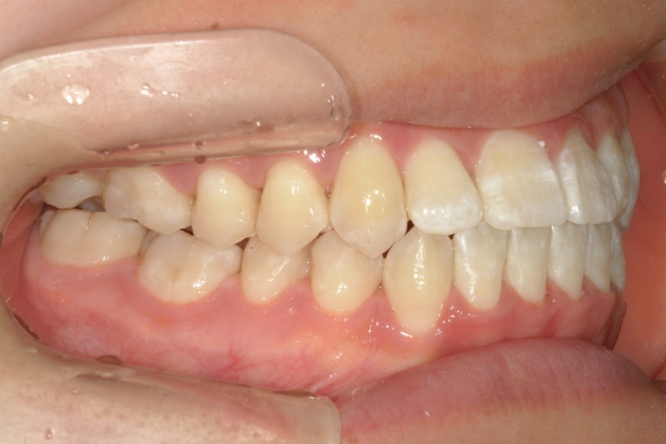
AFTER
治療後



骨格的に下あごが前下方に長いことが原因で、受け口、開咬(前歯が当たらない)の症状がでていました。また下あごが右にずれており、その影響で上下の歯列正中(真ん中)の大きなずれも生じていました。顎変形症手術も選択肢の一つでしたが、患者さまの希望もあり、下顎左側小臼歯の抜歯をして通常の歯列矯正で治療をしました。
前歯、奥歯の噛み合わせが大きく改善され、上下の歯真ん中が一致しました。食べ物が噛みやすくなったこともですが、歯列の見た目が整った点にも患者さまは満足されていました。
下顎前突症(受け口)に関するよくある質問
下顎前突(受け口)は何歳くらいから治療を始めるのが良いですか?
下顎前突の治療は早期治療が重要になり、4歳ごろから治療が可能です。
噛み合わせとともにお口周りの筋肉や舌の位置を早期に改善することで、発育のためのより良いお口の環境を整えることができます。
10歳ごろまでのお子さまで上あごの発育が遅れている場合は、上あごの成長を促す装置を使用する治療もあります。
下顎前突(受け口)を自力で治す方法はありますか?
下顎前突を自力で治す方法はありません。矯正専門クリニックで相談することをおすすめします。
下顎前突(受け口)の治療に手術は必要ですか?
症状によります。骨格の影響が小さい場合や、歯の角度など歯並びが主な原因の場合は、一般的な歯列矯正で治療します。下顎前突の原因が骨格の大きなズレにある場合は、手術と歯列矯正を併用して治療することがあります。
子どもの下顎前突症(受け口)はどのように治療するのでしょうか?
1本〜数本の歯を押し出すリンガルアーチや、上あごの成長を促す上顎前方牽引装置(フェイシャルマスク)などを用います。
実際どのような方法で治療を行うかは、お子さまの症状によって異なるため、専門家への相談をおすすめします。