Protruding

出っ歯は見た目の問題だけでなく、口が閉じにくいため口腔内が乾燥するといった健康面にも影響を及ぼします。
以下のことがよくみられる方は出っ歯の可能性があるので、治療を検討することをおすすめしています。
上顎前突(出っ歯)になる原因

先天的な要因
上あごが極端に大きい、下あごが極端に小さいといった骨格が遺伝し、上下のあごの大きさにアンバランスが生じると上顎前突になります。
上下のあごのアンバランスが大きく通常の歯列矯正では治せないほどなる場合もあります。

後天的な要因
子どもの頃の指しゃぶりや、舌で上の前歯を押す癖が影響して、上顎前突につながるケースもあります。指や舌で押す力自体は弱い力ですが、持続的に長期間かかることで、歯が前方に飛び出たり上あごの過剰な成長へとつながります。
また習慣的に口呼吸をしていると、お口周りの筋力のバランスが崩れ、上あごの骨が狭くなり上顎前突を助長してしまいます。
01
咀嚼が不十分になる
上顎前突の方は、前歯で食べ物を噛み切りにくい場合があります。また食事の際に奥歯の一部しか噛めないため、食べ物を細かく咀嚼しにくくなります。
02
審美的なコンプレックスを感じる
前歯が突出していると、顔のバランスが崩れコンプレックスに感じることがあります。特に重度の上顎前突では、口を閉じていても出っ歯が目立つことで、人前に出ることを避けたくなったりコミュニケーションがとりづらく感じることもあります。また、お子さまの場合はからかいの対象となることもあり、悩みを抱えてしまうと心身の健やかな発育に影響します。このようなケースでは、矯正治療で審美的なコンプレックスを解消することが、自信を高めることにつながります。
03
歯が長持ちしない
前歯が正常に噛み合っていないと、歯一本一本にかかる力がアンバランスになり、噛んだ時に特定の歯に強い力、異常な力がかかります。こうした状態が長く続くと、負担の大きな歯が折れたり、割れてしまうリスクが高くなります。(8020の記事にリンク)
04
発音がしにくい
発音には舌、唇、歯の位置が関係しています。上顎前突のように、上下の前歯の間に空間が生じると空気が漏れやすくなり、結果として発声が不明瞭になることがあります。
症状の悪化によってこの隙間が広がると、さらに言葉が聞き取りにくくなることがあります。
05
転倒時に前歯の外傷のリスクが高い
上顎前突では前歯が前方に飛び出ていることで、転倒時に前歯の破折や脱臼など前歯を損傷するリスクが高くなります。特にお子さまやスポーツを嗜む人は、アクティブな生活の中で外傷のリスクがあります。矯正治療により飛び出た歯を引っ込めることで、歯を損傷するリスクを軽減できます。
06
唇が閉じにくいと口腔乾燥や口臭の原因になる
唇が閉じにくいことで口呼吸が常態化すると、口が乾燥することで唾液の働きが上手に作用せず、口臭の原因になります。
上顎前突の治療では、
を診断して治療していきます。
子どもの頃から矯正治療をすることで、将来的に歯を抜かずにすんだり、大人の矯正治療期間が短縮されたり、顔貌の良好な変化が期待できるなど、大きなメリットがあります。

幼少期
乳歯列の段階で「前歯でうまくものを噛み切れない」「言葉をうまく発することができない」「前歯が出ていることで口が閉まりにくい」など、生活に支障をきたしている場合は治療の必要があります。
この時期はプレオルソという装置を使って、お口周りの筋肉と舌の位置を改善することで間接的に歯並びも改善します。プレオルソは早いお子さまで4歳ごろから使用できます。

小学校低学年(〜10歳ごろ)
この時期の治療は、奥歯を後方に移動することで奥歯の噛み合わせを整えたり、上下のあごのバランスを整えるなど、最終的な治療結果をより良くする土台作りの意味合いが大きいです。
前歯の突出が軽度であれば、下あごの成長を促す治療を行うことで十分に上顎前突の改善が可能です。一方で、前歯の突出が著しい場合この時期のみの治療では改善が難しく、2期治療(大人の矯正治療)が必要となります。

小学校高学年〜大人の治療
下あごの成長が遅れているお子さまに対しては、下あごが大きく成長する時期(12〜16歳ごろ)に、あごの成長を促す装置を使用します。
あごの大きさに不調和がなければ、早ければ永久歯が生えそろうタイミングで、ワイヤーやマウスピースを用いた一般的な歯列矯正治療を行います。
上下のあごの成長が止まった時点で、上あごが極端に大きかったり下あごが極端に小さい場合は、外科手術を併用して骨の大きさの不調和を整えます。
当院では成長時期にあわせた下記の治療方法を実施しております。

ワイヤー矯正
歯列の表側にブラケットという装置を接着し、ブラケットに矯正用ワイヤーを通すことでワイヤーの力を歯に加えて、少しづつ歯を動かしていきます。抜歯スペースを最大限に利用して前歯を後方移動したり、奥歯を後方移動する場合は、歯科矯正用アンカースクリューを併用します。ワイヤー矯正は治療技術が確立されており、抜歯・非抜歯に関わらずほぼすべての症例で安定した治療結果を得ることができます。

マウスピース型矯正装置
プラスチック製のマウスピースをオーダーメイドで数十枚作製し、患者さまに1週間に1回程度の頻度で交換していただくことで理想の歯並びへと近づけていきます。
抜歯をして歯を大きく動かすケースは、決められたマウスピースの装着時間や使用方法を守っていても、シミュレーション通りに歯が動かなかったり、かみ合わせが崩れてしまうなど、マウスピース矯正では難易度の高いケースとされます。

外科的矯正治療
上の顎骨が極端に大きく成長していたり、下の顎骨が極端に小さいなど、骨格的な問題が噛み合わせや顔貌に悪影響を及ぼしている場合、通常のワイヤー矯正やマウスピース矯正では改善ができません。このような場合は「顎変形症」と診断され、手術を併用する外科的矯正治療の適応(保険治療)となります。顎変形症の治療についての詳細はこちらをご覧ください。

ヘッドギア
フェイスボウ(金具)を介して、頭部(頚部)のゴムバンドが後方へ引く力を上あごの奥歯に伝えることで、奥歯を後方に移動させたり、奥歯が前にこないように抑えつつ前歯を引っ込めることができます。ご自身で取り外しが可能で、ご自宅にいる間(主に寝ているとき)使用していただきます。

バイオネーター
ワイヤーとプラスチックでできた矯正装置で、下あごの成長を促す効果があります。下あごの成長期のお子さまに効果があります。ご自身の筋肉の動きを利用して歯に矯正力をかけるため、一般的なワイヤー矯正と比較して無理な力がかからず、痛みがほとんどありません。ご自身で取り外しが可能で、ご自宅にいる間(主に寝ているとき)使用していただきます。

プレオルソ
既製品のマウスピース型矯正装置です。幼児期の子どもに使用することが多く、お子さまが苦手な歯型を取る工程もありません。 熱によりある程度の形の調整が可能です。お口周りの筋肉と舌の位置を改善することで間接的に歯並びも改善し、これからの発育のためのより良いお口の環境を整える装置となります。
矯正治療によってかかる費用
|
治療名 |
項目 |
費用 |
|
マウスピース矯正 |
- |
78万円 |
|
表側ワイヤー |
メタル・セラミック |
68万円 |
|
メタルワイヤー・セラミック |
74万円 |
|
|
ホワイトワイヤー |
80万円 |
|
|
裏側ワイヤー |
ハーフリンガル |
100万円 |
|
フルリンガル |
120万円 |
|
|
1期治療 |
- |
40万円 |
|
予防矯正 (~6歳まで) |
- |
10万円 |
|
共通項目 |
検査料 |
5,000 |
|
管理料 |
3,000円 |
|
|
保定装置料 |
15,000円 |
|
|
観察料 |
2,000円 |

01
カウンセリング
問診票と口腔内スキャンデータをもとに、現状の噛み合わせの問題点とそれに対する治療法、そして大まかなお見積りをご説明します。歯並びに関するお悩みや治療へのご要望など、どんな些細なことでも遠慮なくご相談ください。カウンセリング当日に検査のご希望がございましたら、お気軽にスタッフにお伝え下さい。診療の混雑具合にもよりますが、当日に精密検査が可能な場合もあります。
02
精密検査
より詳細な治療計画を立案するため、お口の中の精密検査を実施します。具体的には、口腔内写真撮影、顔面写真撮影、パノラマX線撮影、頭部X線規格写真撮影、3D口腔内スキャンなどを行います。複数の検査を行うことで、上下の顎骨のバランスや噛み合わせについてより的確に診断することができます。
03
矯正治療
矯正装置を装着し、歯を動かし始めます。通院頻度は装置によって変わりますが、基本的には3~8週間に1回程度です。 1回の治療時間は20〜60分です。
1〜3か月毎にお口の中の写真を撮影し、患者さまへ治療の進行度をお伝えします。写真で歯並びの変化を実感していただくことは、患者さまご自身のモチベーションを保つことにもつながります。
04
保定
歯の移動を終えると、矯正装置をすべて取り外します。装置の撤去後は、後戻りを防止して歯並びを安定させるために、保定装置(リテーナー)を使っていただきます。 保定開始後すぐは1~3か月毎、歯列の後戻りが少なくなってからは3~6か月毎にご来院いただき、噛み合わせと保定装置の状態をチェックします。 保定期間の長さは治療内容にもよって変わりますが、一般的には矯正治療に要した期間と同じ程度必要になることが多いです。
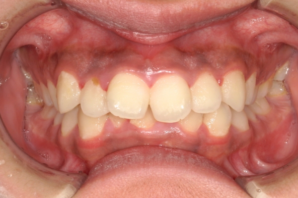
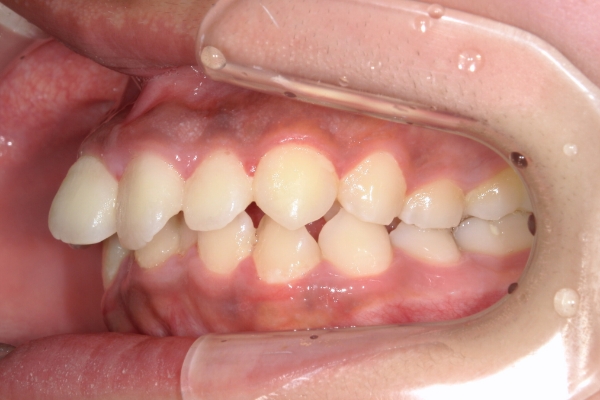
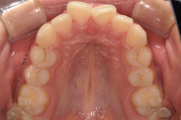
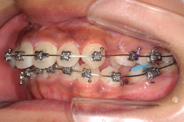
BEFORE
治療前



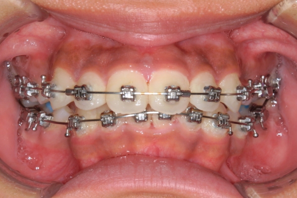
PROCESS
半年



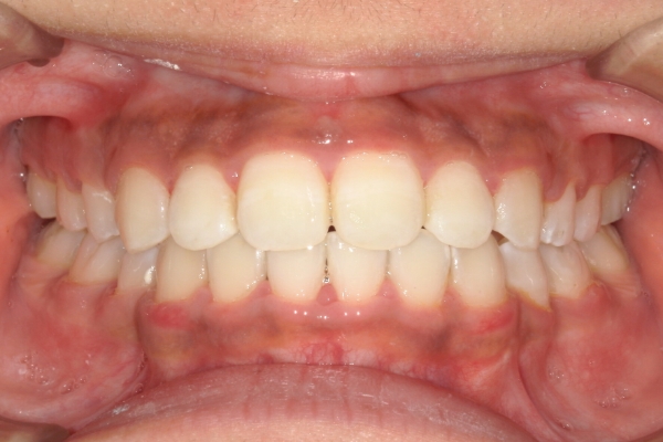
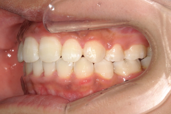
AFTER
治療後



上顎前歯が1 cm近く前方に出ており、叢生を改善しつつ前歯を大きく引っ込めるために上下顎小臼歯の抜歯が必要と診断しました。治療では奥歯の噛み合わせのズレも整え、治療後は前歯でも奥歯でも食べ物が噛みやすくなったと、患者さまに非常に満足していただけました。
上顎前突(出っ歯)を矯正したあとの注意点
01
リテーナーを装着して後戻りを防ぐ
矯正治療後も、歯は元の位置に戻ろうとするため、安定期間中はリテーナーという保定装置を使って歯を固定する必要があります。この期間は矯正治療にかかった時間と同程度を想定し、リテーナーを使用しないと、歯並びが再び乱れるリスクがあります。
02
きちんと歯を磨く
適切な歯磨きは虫歯や歯周病を防ぐために重要です。矯正治療後に美しい歯並びを維持するためにも、虫歯や歯周病を避けるために丁寧に歯を磨くことが大切です。
矯正治療が完了した後も、歯の健康を保つためには、引き続き丁寧なオーラルケアを行いましょう。
03
出っ歯を引き起こす癖をやめる
舌で前歯を押す、指吸い、爪を噛むような習慣は出っ歯を引き起こす可能性があります。 このような習慣があれば、意識して止めることが重要です。
口コボに関するよくある質問
口ゴボと出っ歯の違いは?
「口ゴボ」とは、上下のあごや歯が前方に出た状態を指します。「出っ歯」と異なり、上あごだけでなく下あごも含まれる状態です。「出っ歯」は主に上のあごや歯が前方に出ている状態を指します。
出っ歯の矯正はどのくらいかかりますか?
一般的には2年から3年程度が目安とされています。ただし、治療が必要な程度や使用する矯正装置の種類、患者さまの協力度によって期間は前後する可能性があります。
出っ歯の矯正治療は保険が適用されますか?
出っ歯の矯正治療は、基本的に保険は適用されません。審美目的の矯正治療は自由診療のため、費用は比較的高くなります。
ただし、上あごが極端に大きい、下あごが極端に小さいといった骨格的な問題が噛み合わせや顔貌に悪影響を及ぼしており手術が必要である場合、保険適用と診断される場合があります。(顎変形症のページリンクつける)